Китайские медики выяснили, как младенцы болеют коронавирусом и от кого могут заразиться

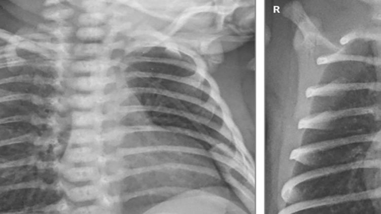
Коронавирус оказался опасным для новорожденных. Фото: Lingkong Zeng et al. / JAMA Pediatrics, 2020

Китайские медики обнаружили, что и новорожденные могут подхватить коронавирус нового типа. Течение болезни Covid-19 у них бывает очень серьезное. 

Их исследование опубликовано в JAMA Pediatrics.

В начале эпидемии считалось, что болезнь поражает в основном старых людей, а у молодых протекает легко, после выяснилось, что могут болеть и люди среднего возраста и им тоже нередко требуется искусственная вентиляция легких. Долго не было известно тяжелых случаев заболевания у детей, а также передачи вируса от матери к ребенку.

Теперь сотрудники Детской больницы города Ухань представили отчет о 33 случаях ведения родов у больных новой коронавирусной инфекцией, каждая женщина родила по одному ребенку, COVID-19 выявили у трех мальчиков.

У всех троих детей на второй и четвертый дни после рождения тесты выявляли вирус, а на шестой или седьмой - уже нет.

Кроме пневмонии, у двоих маленьких пациентов проявилась лихорадка, а у недоношенного ребенка, который родился после 31 недели беременности, было подозрение на сепсис, который лечили антибиотиками. В отделении интенсивной терапии они провели 2, 4 и 11 дней (больше всего - недоношенный ребенок, ему также понадобилась искусственная вентиляция легких). Все остались живы.

Каким путем дети заразились COVID-19 и когда это произошло - до или после рождения, неизвестно, однако авторы говорят, что мала вероятность, что заражение детей произошло в медицинском учреждении.

Получается, что COVID-19 может тяжело, с лихорадкой и пневмонией, протекать даже у самых маленьких пациентов, и они, вероятно, заражаются от матерей. Тем не менее, механизм инфицирования только предстоит выяснить.

Ранее "Страна" писала, что в Ивано-Франковске умерла роженица, у которой подозревали коронавирус. Ребенка удалось спасти.

Также мы рассказывали, что в Украине коронавирус выявили уже у 57 детей.

Читайте также
Любое копирование, публикация, перепечатка или воспроизведение информации, содержащей ссылку на «Интерфакс-Украина», запрещается.